膝の怪我が増えています!


秋になり、農作業や運動をする機会が増え、怪我で受診する患者さんが増えています。
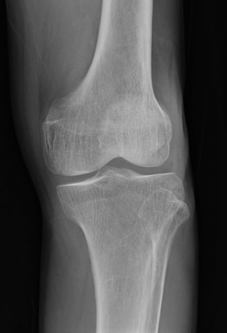
この写真の患者さんは、農道の側溝に落ちて左膝の痛みで受診されました。
レントゲンでは明らかな骨折は認めませんでしたが、痛みが強くMRIを施行して骨折と診断しました。
すぐに、総合病院の整形外科へ紹介しました。
怪我以外に運動のやりすぎで、膝の靭帯や半月板を痛めて受診する方が増えています。
レントゲンだけでは原因を見つけることができない場合がありますので、痛みが続く場合はご相談ください。
上段がレントゲン画像で、下段がMRI画像で、黄色く囲ったところが骨折部位です。


この記事をシェアする