矯正できない視力低下はご用心


先日、眼科のクリニックから紹介された60歳代の患者さんです。
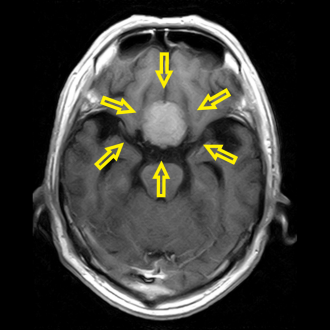
2カ月前から見えにくさを自覚し、近くの眼科を受診されました。
眼科の検査で矯正できない視力低下と視野が狭いことが分かり、頭の病気を疑われ当院に紹介されました。
頭部MRIで脳腫瘍を認め、総合病院の脳神経外科に紹介しました。
視力低下があっても近視や老眼など自己判断せずに、医療機関を受診しましょう。


この記事をシェアする