マラソン中に脳梗塞?

体調管理は大切(マラソン中に脳梗塞発症)
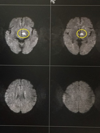
マラソン中に右手足の軽い麻痺が続く男性が受診され、頭部MRIで脳梗塞を認めました。幸い麻痺は軽く、すぐに入院できる病院に紹介しました。話を詳しく聞くと、前日から体調不良で血圧がいつもより高かったようです。
私もトライアスロンをしているアスリートとして他人事には思えず、体調管理の大切さと、体調が悪ければ大会を欠場する勇気の大切さを思い知りました。
MRI画像の黄色い丸印が、脳梗塞の部位です。



この記事をシェアする