急に物忘れが進んだら、脳出血が原因でした

先週、70歳代の男性の患者さんが妻にと一緒に当院を受診しました。1日前から急に物忘れが進み、様子がおかしいとのことでした。
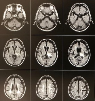
診察所見では、手足の麻痺は無く歩行もできていますが、ぼーっとした感じでした。緊急で頭部MRI検査を施行し、脳出血を認めました。すぐに総合病院に紹介しました。認知症の原因はいろいろありますが、このように急に症状が進行する場合は脳卒中が原因のこともあります。早めに受診をお勧めします。MRI画像で赤くマルの部位が脳出血したところです。



この記事をシェアする