【MRIでわかる認知症】

【MRIでわかる認知症】
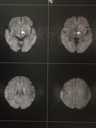
先日、70歳代の女性が急に認知症が悪化したと当院を受診されました。
今までは年相応の物忘れでしたが、1週間前から車の運転、料理、スマホの操作が出来なくなりました。
当院のMRI検査で新しい脳梗塞を認めました。脳卒中が原因の認知症であり、血管性認知症と言われています。
物忘れが急に進行した場合は、MRIやCT検査をすることが大切です!
画像で白い部位が脳梗塞の場所で、視床(ししょう)という部位です。



この記事をシェアする