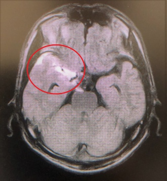
2020年01月18日(土) くも膜下出血の患者さん 当番医の時に頭痛で受診したくも膜下出血の患者さんの報告書が、紹介先の病院から届きました。 脳動脈瘤の破裂が原因で、血管内手術を行って治療したようです。経過は順調であり安堵しました。 この患者さんは、急な頭痛で近くの内科で処方された痛み止めが効かなかったようです。 このように、急に起きた頭痛、痛み止めが効かない頭痛は要注意です。 左写真は頭部MRI検査で、赤丸がくも膜下出血の部位です。 右写真は脳血管造影検査で、赤丸が脳動脈瘤です。