頭の怪我で受診も、大腿骨骨折だった!

今朝もかなり冷え込みましたね。
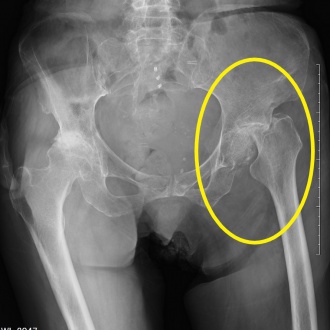
80歳代の軽い認知症の方が転倒して、他院では頭の怪我は診られないと言われ、当院を受診されました。
頭に大きなたんこぶを認めましたが、転んでから動けなくなりました。全身をMRIやレントゲンで調べたところ、大腿骨の骨折を認めました。頭のMRI検査は異常なく、救急車で総合病院に搬送しました。
雪で足元が悪く、路面が凍っているため、転倒して怪我をする方が増えています。気を付けましょう!
レントゲン写真の黄色で囲ったところが骨折した箇所です。



この記事をシェアする